970x125
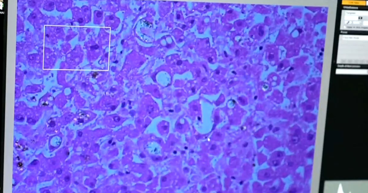
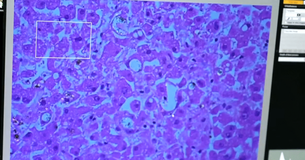
Albuquerque, New Mexico — Dr. Matt Campen studies the health effects of environmental pollutants. His lab at the University of New Mexico has, for the first time, found plastics in human brain tissue.He says his research estimates that the amount of plastic in the brain could be roughly equal to the size of a plastic spoon. “That is a lot,” Campen explains to CBS News. “…The fact that it’s getting worse over time is really the issue.” Scientists believe these microscopic particles, called nanoplastics, come from all the plastic people use and throw away. When plastic breaks down over time, it winds up in the food supply, the water we drink, and even the air we breathe.A study last month in the Journal of the American Heart Association finds that people living near nanoplastic-polluted oceans are more likely to suffer from type 2 diabetes, heart disease, and stroke compared to those that lived near waters that have low levels of nanoplastics.
Campen’s lab has found more plastic in the brains of people with dementia than those without dementia.Now, research on these nanoplastics is moving out of the lab and into long-term clinical studies. “We have more evidence now for the effects of plastic on children’s chronic disease then we do on food dyes,” said Dr. Leonardo Trasande, a professor of pediatrics at New York University’s Grossman School of Medicine. “And if we use the same evidence standard, we should be acting as fiercely on plastics in the food supply as we are on food dyes.” Trasande is tracking plastics’ impact on over 64,000 children, from pregnancy to adolescence, including on 8-year-old Jack Glaser.”The amount of information that they’re collecting is remarkable,” Glaser’s mother, Tammy Fried-Glaser, said. “They did cognitive studies on Jack, you know, height and weight and sonograms, and beyond.”So far, Trasande’s research has linked plastics to health problems like hormonal issues with fertility, premature birth, cognitive abnormalities and cardiovascular disease.
970x125
“Literally the particle is a problem — because it’s a foreign body in a tissue,” Trasande said. “It might thrash the lining of the coronary artery, contributing to clogging…These are toxic drug delivery systems.” While the details are still emerging, experts agree that less plastic is the way forward.
More from CBS News
Dr. Céline Gounder
Dr. Céline Gounder, an internist, epidemiologist and infectious disease specialist, is a CBS News medical contributor as well as senior fellow and editor-at-large for public health at KFF Health News.
970x125
